Dr med dent Tatjana Knego
KLINIKA ZA SPLOŠNO DENTALNO MEDICINO,
ORTODONTIJO, ORALNO KIRURGIJO IN RTG-ORTOPAN
Zobna protetika zavzema v naši zobni ordinaciji vodilno mesto. Izdelujemo vse vrste protetike, posebej nekovinsko protetiko, protetiko na implantatih, protetiko all-on-four pri brez zobih čeljusti na 4 implantatih in vse vrste protez. Doktorica Knego ima bogate izkušnje s področja zobne protetike in je zagovornica biokompatibilnene kovinske protetike, kot so steklene porcelanaste prevleke, cirkonij ali e.max (odvisno od rezultata, ki ga želimo doseči). Takšna protetika je izdelana v laboratoriju z računalniškim sistemom, izdelki pa so izjemno kakovostni in se ponašajo z vrhunsko naravno estetiko.
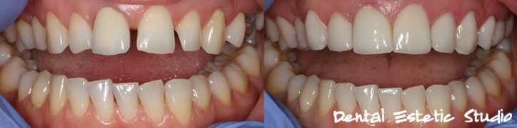
Kombinacija nekovinske protetike in lusk.

Kombinacija nekovinske protetike in lusk.

Pacientka je želela lepši in izjemno naraven nasmeh, ki smo ga dosegli z luskami ter nekovinskimi prevlekami.