Dr med dent Tatjana Knego

KLINIKA ZA SPLOŠNO DENTALNO MEDICINO,
ORTODONTIJO, ORALNO KIRURGIJO IN RTG-ORTOPAN





ZOBNE LUSKE V ZAGREBU - KLINIKA DR. KNEGO

Dental Estetic Studio doktorice Tatjane Knego je dentalna klinika v strogem centru Zagreba, ki je znana po vrhunski protetiki, najboljših implantatih in izjemno naravnih ter estetskih obnovah.


Minimalno invazivna stomatologija danes v stomatologiji zavzema pomembno mesto, saj lahko brez brušenja ali z minimalnim brušenjem zoba, kakršno je potrebno za zobne luske, ohranimo zobno tkivo in dosežemo odlične estetske ter funkcionalne rezultate. Doktorica Knego posebno pozornost posveča prav takšni vrsti sodobne stomatologije in ima na področju lusk več kot deset let izkušenj.

Zobne luske so izdelane iz tankega steklenega porcelana ali pa iz e.maxa. Kadar želimo rešiti težavo estetike, obarvanosti, diasteme (razmika med zobmi) ali blage travme zoba, se z njimi prekrije sprednja stena zoba. Glavni predpogoj za uporabo lusk je, da na zobu ni prevelikekompozitne plombe. Postopek izdelave traja od 3 do 5 dni, da pa bi v tem času lahko normalno funkcionirali, vam bomo namestili estetsko sprejemljive provizorične luske, ki bodo zavarovale brušeni zob. Zobne luske se namestijo s posebnim cementom. Gre za postopek, ki zahteva veliko izkušenj, saj mora biti opravljen natančno, če želimo, da je nasmeh vsakega pacienta izjemno naraven in trajen.

Porcelanaste luske so zaradi svoje izjemne gladkosti odporne na obarvanost, ki jo povzročajo npr. cigareti ali kava, zahvaljujoč odlični prozornosti pa so videti povsem naravno. Pred namestitvijo lusk lahko pobelimo sosednje zobe, zaradi česar bo vaš nasmeh svež in še lepši.

LAMINATI NON PREP VENEERS - LUMINEERS

Tehniko brušenja NON PREP uporabljamo pri izdelavi LAMINATOV. Laminati so luske, pri katerih zoba ne brusimo, temveč ga le preoblečemo z izrazito tankimi luskami. Na ta način v največji možni meri zob ohranimo in dosežemo prečudovite estetske rezultate (seveda pod pogojem, da je laminate mogoče namestiti). Z laminati zobe nekoliko odebelimo in dodamo nasmehu volumen, če pa to ni naš cilj, izdelamo luske, s katerimi ohranimo tankost zob.


Luske




Izdelava laminata




Kombinacija lusk in prevlek v tehniki CAD/CAM




Laminati na zgornjih dvojkah, ki so brez brušenja zagotovili volumen in lepši nasme




Laminati, nameščeni na zobe, brez predhodnega brušenja zob.




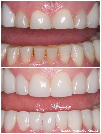
Luske zgoraj in spodaj, ki so zapolnile velike razmike med zobmi ter z barvo in obliko ustvarile popoln nasmeh.




Luske na šestih zgornjih in spodnjih zobeh ter spodnjih enkah.




Luske samo na zgornjih šestih sprednjih zobeh.




Obnova zob s kombinacijo lusk in nekovinskih prevlek, ki so poskrbele za skladen nasmeh.




Uporaba kombinacije nekovinskih prevlek in lusk.




Luske na šestih sprednjih zobeh.




Obnova z luskami




Obnova z luskami




Obnova z luskami